Gefahren durch Katzen

Beeinträchtigungen, Risiken und Schäden

von Marcus Skupin, 01.01.2026

Ein niedliches Bündel Fell, das uns mit seinen possierlichen Spielen erfreut, eine nette, recht pflegeleichte Gesellschafterin für Jung und Alt. - So, oder ähnlich sehen wir meist unsere Katzen.

Doch das Thema Katzen hat durchaus auch noch andere Seiten.

Wir wissen heute, dass Vieles, was die Menschen früher über die Katze zu wissen glaubten, nicht den Tatsachen entspricht, oder falsch interpretiert wurde.

So glaubt heute wohl niemand mehr, dass eine Katze das Gewitter und Blitze anzieht. Auch, dass Katzen schlafende Kinder anfressen, dürfte heute als "überholt" betrachtet werden.

Wer mehr über das frühere, vermeintliche Wissen über die Katze lesen möchte, wird in der Rubrik "Katzen(un)wissen" fündig.

Dennoch ist die Katze ein nicht ganz ungefährliches Tier (... und das gilt nicht nur für Mäuse und Vögel).

Beeinträchtigung der Artenvielfalt

Das Jagdverhalten der Katze kann zu einer Beeinträchtigung der Artenvielfalt führen. Nach Untersuchungen in verschiedenen Ländern und Regionen (auch in Deutschland) erjagen Hauskatzen jährlich Millionen bis Milliarden an kleinen Wildtieren. Zu ihrer Beute zählen neben Vögeln und kleinen Säugetieren, Reptilien und Amphibien sowie zahlreiche Insekten.

Der Naturschutzbund Deutschland (NABU) schätzt allein die Opferzahlen unter den heimischen Wildvögeln auf rund 200 Millionen je Jahr. Eindämmen ließen sich diese Beutezahlen an Wildvögeln ein wenig, wenn Hauskatzen zumindest zwischen Mitte Mai und Mitte Juli (zumindest in den frühen Morgenstunden) keinen Auslauf erhalten.

Störung ganzer Ökosysteme

Die Katze wurde durch den Menschen in viele Regionen verbreitet, in der sie natürlich überhaupt nicht vorkäme. Sie ist damit eine invasive Art, auch wenn ihre Verbreitung durch den Menschen zwischenzeitlich meist viele hundert Jahre her ist.

Dies kann gerade in abgeschiedenen Regionen, also beispielsweise auf (auch großen) Inseln ein echtes Problem darstellen. So ist beispielsweise nachgewiesen, dass Katzen in Australien wesentlich zur Reduzierung (bis hin zum Aussterben) von 27 endemischen Arten beigetragen haben.

... nicht nur durch die Katze

Trotz allem darf allerdings keinesfalls vergessen werden, dass die größte Bedrohung von Ökosystemen und Artenvielfalt nach wie vor der Mensch ist, der durch seine immer weitere Ausbreitung und den stetigen Bedarf an landwirtschaftlichen und sonstigen Flächen, natürliche Lebensräume, meist unwiederbringlich, zerstört.

Risiko für die menschliche Gesundheit

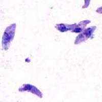
toxoplasma gondii

Toxoplasma gondii

Abbildung: CDC, gemeinfrei

Neben den geschilderten Risiken für unsere Umwelt können Katzen auch die Gesundheit des Menschen negativ beeinflussen.

So können Katzen einen Auslöser zu verschiedenen Erkrankungen liefern, die unsere Gesundheit beeinträchtigen.

Neben den recht häufigen, allergischen Reaktionen die prädisponierte Menschen durch das Einatmen von Katzenallergenen erleiden können, landläufig als "Katzenallergie" bezeichnet, sind gewisse Krankheiten vom Tier auf den Menschen übertragbar. Diese Zoonosen können erhebliche Auswirkungen auf die menschliche Gesundheit haben.

Ein Beispiel ist die mögliche Übertragung der Tollwut. Zudem kann - über den Katzenkot - der Erreger "Toxoplasma gondii" übertragen werden und für Schwangere und Menschen mir geschwächtem Immunsystem zu ernsthaften Problemen führen. Gleiches gilt für die Übertragung verschiedener Parasiten (Spul- und Bandwürmer, sowie Ohrmilben) auf den Menschen.

Zu erwähnen sind weiterhin die sogenannte Katzenkratzkrankheit (Auswirkung: Fieber, geschwollene Lymphknoten) sowie bakterielle Infektionen durch Katzenbisse, bei denen wegen der spitzen Zähne recht tiefe Wunden entstehen können.

Materielle Schäden

Schließlich sind auch materielle Schäden durch Katzen nicht ausgeschlossen. Hierzu zählen Beschädigungen am Eigentum, wie Kratzer an Möbeln und Tapeten sowie Schäden in Gärten, wie Kot in Sandkästen, erbeutete Teichfische, umgegrabene Beete und ähnliches.

Wir verwenden Cookies um unsere Website zu optimieren, Dienste anzubieten, um Werbung anzuzeigen (auch interessenbezogene Werbung) und Ihnen das bestmögliche Online-Erlebnis zu bieten. Mit der Auswahl „Alle erlauben“ erklären Sie sich damit einverstanden. Weiterführende Informationen auch zu den Alternativen, Cookies zuzulassen oder sie zu deaktivieren, erhalten Sie in unserer Datenschutzerklärung.